Are you dreaming of a straighter smile but worried about the discomfort and appearance of traditional braces? At Modbury Dental Practice, we have the perfect solution for you—Invisalign. Our expert team is dedicated to helping you achieve your best smile with this cutting-edge orthodontic treatment that is both discreet and highly effective.
Ready to achieve a straighter smile without the hassle of traditional braces? Discover the magic of Invisalign at Modbury Dental Practice.
Heard of Invisalign? It’s one of the most innovative solutions in orthodontics today. These clear aligners have become a top choice for people of all ages who want to straighten their teeth conveniently and effectively.
Unlike traditional braces, Invisalign aligners are removable and easy to clean. You can take them out to eat, drink, or brush, so you don’t have to change your lifestyle or worry about food restrictions. Plus, maintaining your oral hygiene is much easier.
Invisalign also eliminates the hassle of dealing with broken wires or brackets, making the treatment journey smooth and stress-free.
While popular among young adults and teens who want a confident smile without feeling self-conscious, Invisalign is just as suitable for adults of all ages. Whether you’re a professional looking to maintain a polished appearance or prefer a discreet treatment, the nearly invisible aligners let you straighten your teeth without anyone noticing.
Invisalign offers a comfortable, effective, and subtle way to address both minor and complex orthodontic issues, fitting seamlessly into any lifestyle.
Clear & discreet:
Virtually invisible aligners that allow you to smile confidently throughout treatment.
Comfort & convenience:
Made from patented SmartTrack® material, aligners are smooth and tailored to fit your gum line for enhanced comfort
Removable flexibility:
Easily take your aligners out to eat, drink, brush, and floss—no food restrictions or oral hygiene hassles.
No emergencies:
Forget about broken wires or brackets; Invisalign provides a low-maintenance treatment experience
Predictable results:
Your custom treatment plan offers a clear 3D preview of your smile’s transformation before you begin

Crowded teeth is a condition where you do not have enough room for your teeth to fit normally. This can cause plaque or tartar and other harmful bacteria to build up as it is harder for you to brush and floss well

Gaps between teeth is when there is extra space between two or more of your teeth. This can cause pockets between your teeth and gums and can cause food to get stuck making them tender and sore. This might also lead to gum disease

An Open bite is when your upper and lower teeth don't touch when you close your mouth. An open bite can make it hard for you to chew or difficult to bite even the most common of food like apples.

An underbite is when you close your mouth and your lower front teeth are in front of your upper teeth. In many cases, this is actually a problem with your lower jaw being too far forward. An underbite can make it hard to chew properly and speak clearly, and it might cause your teeth to wear down more quickly.

An overbite is when your upper front teeth overlap with your lower front teeth. Most people have at least a little overbite. When your overbite is too large, your doctor might tell you you have a deep bite. This can cause problems, from your teeth wearing down to pain in your jaw.

A crossbite is when you close your mouth and yet some of your upper teeth are sitting inside your lower teeth rather than on the outside. A crossbite can make your teeth wear down or chip. It can also make your gums start to recede or make little notches above your gum line. This kind of damage can lead to painful gum problems or even bone loss. In Person Consultation
Meet Dr Rowe for a smile assessment, digital scan, and a preview of your end results.
Approve your personalised plan. Aligners are then expertly crafted for your specific needs.
hange aligners every 1–2 weeks, wear them 20–22 hours per day, and enjoy routine check-ins.
After your final aligner, we’ll provide Vivera® retainers—custom-made to safeguard your new smile.
Treatment lengths vary but many achieve their ideal smile in 6–9 months—some see results in just weeks
Our Dentist Dr Kate Rowe is a Diamond Provider, having completed over 500 cases!
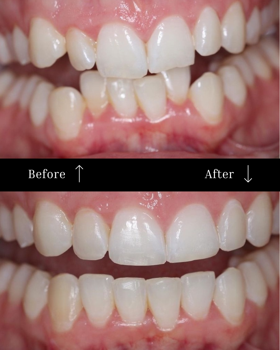
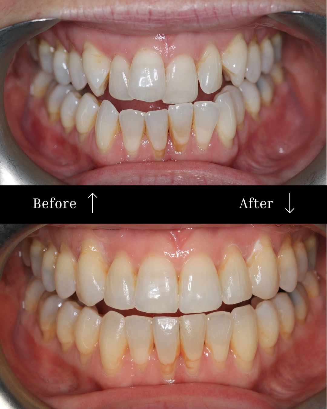
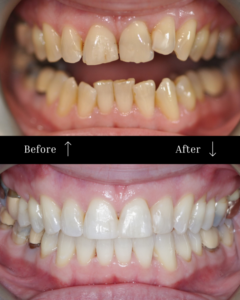
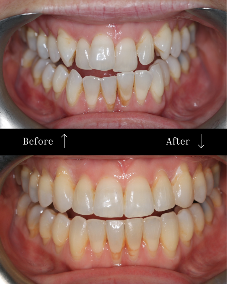
These real results show how discreet, comfortable aligners can achieve a straighter, healthier smile.
Invisalign treatment starts with a consultation with an Invisalign-trained doctor. Your doctor will evaluate your smile and then map out a precise, customized digital treatment plan that showcases the step-by-step transformation of your smile. once you approve your plan, your unique aligners will be created. you will wear each set of aligners for 20 to 22 hours a day, changing to a new set of aligners every 1 to 2 weeks, as directed by your doctor. each set of aligners will gently and gradually shift your teeth into place, according to your treatment plan, until you reach your beautiful new smile.
Depending on the complexity of your case, you could complete your treatment in as little as 3 months. but you’ll start seeing results in a matter of weeks.
Invisalign clear aligners are made of flexible plastic — specifically, a patented thermoplastic material called SmartTrack created exclusively for Invisalign treatment.
Invisalign treatment is the process of wearing a series of clear, removable aligners that gradually straighten your teeth. No brackets and wires, and none of the restrictions that come with metal braces.
Invisalign clear aligners are made of flexible plastic — specifically, a patented thermoplastic material called SmartTrack created exclusively for Invisalign treatment.
Your Invisalign Doctor will create a unique, digital treatment plan that maps out the exact movements of your teeth. Your Invisalign clear aligners are then designed to apply the right amount of force to the right place at the right time based on your plan. Your Invisalign Doctor will be with you every step of the way to monitor your progress and ensure your aligners fit correctly.
Invisalign clear aligners are virtually invisible — people may not even notice you’re wearing them. You can remove them to eat and drink, to brush and floss, or for special occasions. There are no metal brackets or wires that could irritate your mouth or break.
Unlike other brands, Invisalign clear aligners are made from patented SmartTrack material, which is more comfortable and provides a better fit. Invisalign aligners are also trimmed based on your gum line for comfort and appearance. As the most advanced clear aligner system in the world, we have successfully improved over 8 million smiles, including 1.4 million teen smiles.
Every smile is unique, which is why your Invisalign treatment starts with a consultation. During your consultation, your Invisalign Doctor will help you determine what Invisalign treatment could do for your smile. We cannot guarantee a particular treatment outcome, but encourage you to share your treatment goals with your Invisalign Doctor at your consultation.
Invisalign treatment can be a great solution for both adults and teens looking for a virtually invisible method to improve their smile. Our innovations and technological advancements make it possible to fix nearly all common teeth-straightening and bite issues, from simple to complex — all without interrupting your busy life. And, thanks to a discreet blue dot on the outside of teen aligners, parents can be sure their child is wearing their clear aligners enough.
Invisalign treatment starts with a consultation with an Invisalign-trained doctor. Your Invisalign dentist will evaluate your smile and then map out a precise, customised digital treatment plan that showcases the step-by-step transformation of your smile.
Once you approve your plan, your unique aligners will be created. You will wear each set of aligners for 20 to 22 hours a day, changing to a new set of aligners every 1 to 2 weeks, as directed by your Invisalign dentist. Each set of aligners will gently and gradually shift your teeth into place, according to your treatment plan, towards your beautiful new smile.
Our Team can help you make an appointment with our Invisalign Dentist Dr Kate Rowe.
Bring your questions (we’ve got a list to get you started here). You should also bring any information you might have about your dental history.
During your consultation, your Invisalign Dentist will discuss your teeth-straightening goals with you and examine your smile in order to determine your specific needs. They may also talk to you about how quickly you could reach your new smile, as well as your individual treatment cost.
Your Invisalign dentist will most likely recommend scheduling a dental check-up and cleaning before you begin Invisalign treatment, to make sure your teeth and gums are in top health and to avoid unnecessary risks.
The length of treatment depends on multiple factors, like how complex your case is and how often you wear your aligners. Your Invisalign dentist will determine exactly how long your treatment could take based on your specific needs. On average, Invisalign treatment time is 6 to 9 months, though you can start seeing results in a matter of weeks.
Your Invisalign dentist will tell you how often you should change to new Invisalign aligners (this can vary based on your individual treatment plan). Many recommend changing Invisalign clear aligners weekly or every other week.
Your Invisalign dentist will schedule regular appointments, usually about once every four to six weeks. The goal of these visits is to ensure your Invisalign treatment is progressing as planned.
Your Invisalign treatment may require SmartForce attachments, small tooth-coloured shapes that are attached to your teeth.
These shapes serve as handles, giving the aligners something to gently push on in order to move your teeth with the right amount of force, and are what make complex tooth movements possible without braces. Invisalign clear aligners fit smoothly and tightly around them, so they’re barely noticeable.
While not everyone who uses Invisalign clear aligners will need SmartForce attachments, if you need them, your Invisalign Dentist will attach them to your teeth at the start of or during your treatment and remove them when they are no longer needed.
like other types of orthodontic treatment, the price of the Invisalign treatment depends on the complexity of your dental correction and your course of treatment.
Invisalign treatment typically costs about the same as traditional braces.
Possibly. Invisalign Dentists are treating a significant number of patients with a combination of braces and Invisalign clear aligners — consult your Invisalign Dentist to determine the best treatment approach for your smile.
Yes, Invisalign clear aligners can treat nearly all common teeth-straightening issues, from simple to complex. Many people who formerly had braces choose Invisalign treatment as the discreet solution to improve their smile when they find that their teeth have shifted back.
It depends. Talk with your Invisalign Dentist about the dental work you’ve had done, including veneers and crowns, and he or she will evaluate your individual needs.
Invisalign clear aligners are designed to move each tooth individually. Because bridgework connects two or more teeth, clear aligners may not be effective.
Invisalign aligners are virtually invisible. Others may not even notice you’re wearing them, making Invisalign treatment a seamless fit with your lifestyle.
Yes, you can remove your Invisalign aligners for eating, drinking, brushing, and flossing. You can take them off for special occasions, like a wedding, job interview, or for playing your favourite sport or instrument. Just remember to wear them 20 to 22 hours a day to get the best results.
None! Invisalign clear aligners are removable, so there are no food restrictions at all (hello popcorn!). With traditional wires and brackets, there’s a long list of foods you unfortunately can’t enjoy, as they can damage or get stuck in your braces.
Invisalign treatment moves your teeth by applying gentle, constant force, but some people do feel temporary discomfort for the first few days of wearing a new set of aligners. Typically, people describe it as feeling “pressure” and it’s normal — it’s a sign your Invisalign clear aligners are working and transforming your smile.
Please see your Invisalign Dentist if you have any concerns or experience continued discomfort.
Yes. As your Invisalign aligners gradually shift your teeth into their proper position, your gums are re-forming around each tooth as it moves. Be sure to talk to your Invisalign Dentist about any concerns.
You need to wear your Invisalign aligners 20 to 22 hours a day to get the results you want.
It may take a couple of days for your tongue to get used to having your Invisalign aligners in your mouth, and you may have a slight lisp. But this should disappear quickly.
We discourage smoking while wearing Invisalign aligners because it can stain them.
No, gum will stick to your Invisalign aligners. We recommend removing your aligners for all meals and snacks, including gum.
It is very unlikely that your aligners would ever fall out, no matter what you are doing: sleeping, talking, laughing, etc. Invisalign clear aligners are designed to fit snugly around your teeth, so this should not be a cause for concern.
The answer depends on how long you’ve gone without wearing your Invisalign aligners. If it’s only been a short time, your aligners should still fit, but they might feel uncomfortable. If it’s been a longer time, talk to your Invisalign Dentist about your unique situation.
The best way to clean your aligners is by brushing and rinsing them in lukewarm water and using the Invisalign Cleaning Crystals or special cleaning tablets. It’s important that you brush your teeth after each meal before re-inserting your aligners to maintain good oral hygiene.
Yes. That’s why it’s important to brush after every meal, before placing your Invisalign aligners back in your mouth.
If you lose or break an Invisalign aligner, immediately let your Invisalign Dentist know. Your Invisalign Dentist will work with you to ensure you stay on-track with your treatment plan, which may involve wearing a previous set of aligners, your next set of aligners, or ordering replacements aligners.
All aligners and retainers must be ordered through your Invisalign Dentist, as they are considered a prescription item. Please contact your Invisalign Dentist directly if you need to order a replacement.
Most Invisalign Dentists recommend that anyone who has completed orthodontic treatment, whether with braces or Invisalign treatment, use a retainer to prevent teeth from gradually shifting back toward their initial position. Every case is different, so ask your Invisalign Dentist if you need retainers.
While there are many different types of retainers, we recommend Vivera retainers. Vivera retainers were specifically designed for use after Invisalign treatment, and are made from a proprietary material 30% stronger than other leading clear retainer materials, which helps you to keep your new smile.
Your Vivera retainers will be virtually invisible, and custom-made from an impression or scan of your teeth, using the same start-of-the-art technology used for Invisalign clear aligners.
Contact your Invisalign Dentist for more information on Vivera retainers, as pricing can be based on your individual needs. All Vivera retainer orders will include an extra set, in case you lose one.
You can order Vivera retainers through your Invisalign Dentist.
Your Invisalign Dentist will give you specific instructions on how often you need to wear your retainers. Typically, you wear your first set full time, then based on your Invisalign Dentists recommendation, you may gradually reduce how much you wear them until you only wear them at night.
If you lose or break your last set of Vivera retainers, or simply run out, just get in touch with your Invisalign Dentist. They can work with you on purchasing a new set of Vivera retainers, so you can keep showing off that smile!
Take the first step to a straighter, stunning smile.
Contact Us
Our expert team is dedicated to helping you achieve your best smile with this cutting-edge orthodontic treatment that is both discreet and highly effective.
“I needed a double extraction today and was super nervous. The dentist (Dr Vivek Giddani) was phenomenal. So patient and incredibly skilled, it was over in minutes. Chloe was absolutely lovely too, very caring....”
“I have been a patient for approximately 20 years at Modbury , always been happy with the practice . The new modernised decor looks beautiful and the whole place feels generally more up to...”
“I’ve been using modbury dental service for five years plus and under the new ownership it is still an excellent service. All the staff are super A very relaxing atmosphere awaits anybody that is...”
“The Modbury team are brilliant. They always provide such friendly and personable service and have constantly put my health and care at the centre of their approach. Thank you.”
“I've been using Modbury Dental Practice for 20+ years and have always been very happy. I had some trepidation when visiting it for the first time with the new owners which was totally put...”
“Excellent service staff are so friendly and welcoming nothing was to much trouble”
“Brilliant practice! Visiting and working with the team is a highlight every time.”