Invisalign in Modbury

If you are looking for a discreet way to straighten your teeth, Invisalign at Modbury Dental Practice offers a comfortable and nearly invisible alternative to traditional braces.

Using advanced clear aligner technology, Invisalign can help correct crooked teeth, gaps, overcrowding, and bite issues without metal brackets or wires. Patients from Modbury, Plymouth, Kingsbridge, Ivybridge, and across South Devon choose Invisalign for its convenience, comfort, and natural appearance.

Book your Invisalign consultation today and discover how we can help you achieve a straighter, more confident smile.

Why Choose Invisalign?

Invisalign uses a series of custom-made clear aligners to gradually move your teeth into their ideal position. The aligners are removable, discreet, and designed to fit comfortably into your lifestyle.

Benefits of Invisalign

Virtually invisible clear aligners

Removable for eating and cleaning

Comfortable and custom-made

Fewer dental visits than traditional braces

Suitable for adults and teenagers

Digital treatment planning with predictable results

Many patients choose Invisalign because it allows them to straighten their teeth confidently without the appearance of traditional metal braces.

What Can Invisalign Treat?

Invisalign is an effective solution for many common orthodontic concerns, including:

Crooked teeth

Overcrowding

Gaps between teeth

Overbite

Underbite

Crossbite

Mild to moderate bite problems

During your consultation, we will assess your smile and discuss whether Invisalign is the right treatment for you.

Your Invisalign Journey

1. Consultation

Your journey begins with a detailed consultation at our Modbury dental practice. We will examine your teeth, discuss your goals, and create a personalised treatment plan.

2. Digital Smile Planning

Using advanced digital scanning technology, we create a precise 3D model of your teeth and show you a preview of your future smile.

3. Custom Aligners

Your bespoke Invisalign aligners are created specifically for your teeth. Each set gradually moves your smile into alignment.

4. Progress Reviews

You will wear each aligner for approximately 1–2 weeks, attending regular reviews so we can monitor your progress.

5. Your New Smile

Once treatment is complete, retainers help maintain your beautiful new smile long-term.

Invisalign Cost & Finance

The cost of Invisalign treatment depends on the complexity of your case and the number of aligners needed to achieve your ideal smile. At Modbury Dental Practice, every treatment plan is tailored to the individual, ensuring you receive the most effective and appropriate care for your needs.

During your Invisalign consultation, we will assess your smile, discuss your goals, and provide a personalised treatment plan with a full breakdown of costs and treatment times.

We also offer flexible finance options to help make Invisalign treatment more affordable, allowing you to spread the cost with manageable monthly payments.

Many patients across Modbury, Plymouth, and South Devon choose Invisalign as a long-term investment in both their confidence and oral health.

To learn more about Invisalign pricing and finance options, book your consultation with our experienced team today.

Invisalign for Adults

Invisalign for adults in Modbury

Many adults are choosing Invisalign to improve their smile without the appearance of traditional braces.

Clear aligners fit seamlessly into professional and social life, making Invisalign a popular option for adults seeking discreet orthodontic treatment in Modbury and Plymouth.

Whether you have always wanted straighter teeth or your smile has shifted over time, Invisalign can help restore your confidence.

Meet Dr Kate Rowe – Diamond Invisalign Provider

Your Invisalign treatment at Modbury Dental Practice in Devon is led by Dr Kate Rowe. 

Dr Rowe has helped patients across Modbury, Plymouth, and South Devon achieve straighter, more confident smiles using advanced Invisalign technology and personalised treatment planning.

Known for her friendly and patient-focused approach, Dr Rowe creates bespoke Invisalign treatment plans tailored to each individual smile.

Learn more about Dr Kate Rowe

Dr Kate Rowe Invisalign Provider in Modbury

Dr Kate Rowe

Diamond Invisalign Provider

Invisalign Smile Makeovers

Many patients choose to combine Invisalign with additional cosmetic treatments to create a complete smile makeover.

After straightening your teeth with Invisalign, treatments such as teeth whitening and composite bonding can help enhance the final result by improving the colour, shape, and overall appearance of your smile.

At Modbury Dental Practice, we create personalised smile makeover treatment plans tailored to your goals, helping patients across Modbury, Plymouth, and South Devon achieve natural-looking, confident smiles.

Invisalign in Modbury, Devon.

Frequently Asked Questions

How long does Invisalign treatment take?

Treatment times vary depending on your individual case, but many patients complete Invisalign treatment within 6–18 months.

Does Invisalign hurt?

You may experience mild pressure when changing aligners, but Invisalign is generally considered more comfortable than traditional braces.

How often do I wear my aligners?

For the best results, aligners should be worn for 20–22 hours per day.

Is Invisalign better than braces?

Invisalign offers a more discreet and removable alternative to braces, although suitability depends on your individual orthodontic needs.

Why Choose Modbury Dental Practice for Invisalign?

Modbury logo

At Modbury Dental Practice, we combine modern technology with patient-focused care to deliver high-quality Invisalign treatment in a relaxed and welcoming environment.

Patients throughout South Devon choose us because we offer:

Experienced Invisalign provider

Advanced digital smile scanning

Personalised treatment plans

Flexible appointment times

A friendly and supportive team

Convenient access from Plymouth, Ivybridge, and Kingsbridge

Our goal is to help every patient achieve a healthier, more confident smile.

Book Your Invisalign Consultation

If you are considering Invisalign in Modbury, Plymouth, or South Devon, our experienced team is here to help.

Contact Modbury Dental Practice today to arrange your consultation and take the first step towards a straighter, more confident smile.

Book Your Consultation Today
invisalign-thumb1

Invisalign®

  • Clear, virtually invisible
  • Smooth and comfortable
  • Removable & easy to clean
  • Eat anything you want
invisalign thumb

Traditional Braces

  • Wires and brackets
  • Can decorate with colours
  • Colours can be changed at every visit
  • Non removable
VS

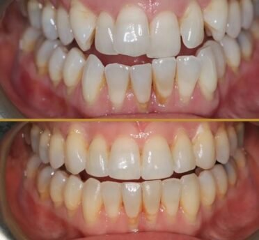
Smile Gallery

Invisalign before & after

Before

After

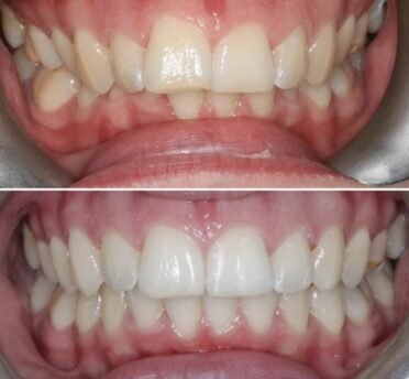
Invisalign before & after

Before

After

Invisalign before & after

Before

After

Invisalign before & after

Before

After

Invisalign before & after

Before

After

Invisalign before & after

Before

After

Invisalign before & after

Before

After

Invisalign before & after

Before

After

Invisalign before & after

Before

After

Comparison with Invisalign® vs other treatments

Other clear aligners

Traditional braces

Made from SmartTrack material

check

In-person consultations with real dentists

check
check

Easily removable for eating, drinking & flossing*

check
check

No emergency visits for broken wires

check
check

Virtually invisible

check
check

Made from traditional brackets and wires

check

Each aligner is trimmed to your gum line for optimal comfort and appearance**

check

Blue compliance indicator dots to help you stay on track

check

Covered by many orthodontic insurance plans

check
check
check

Made from SmartTrack material

check

In-person consultations with real dentists

check

Easily removable for eating, drinking & flossing*

check

No emergency visits for broken wires

check

Virtually invisible

check

Each aligner is trimmed to your gum line for optimal comfort and appearance**

check

Blue compliance indicator dots to help you stay on track

check

Covered by many orthodontic insurance plans

check

Easily removable for eating, drinking & flossing*

check

No emergency visits for broken wires

check

Virtually invisible

check

Covered by many orthodontic insurance plans

check

In-person consultations with real dentists

check

Made from traditional brackets and wires

check

Covered by many orthodontic insurance plans

check
In Person Consultation

Six reasons why you should choose us for your Invisalign® treatment

reasons icon1

Removable retainers, included for free

reasons icon1

Free Tooth Whitening

reasons icon1

Beautiful teeth in as little as three months, using safe cosmetic braces

In Person Consultation

What can Invisalign® fix?

invisalign before after

Crowded teeth

Crowded teeth is a condition where you do not have enough room for your teeth to fit normally. This can cause plaque or tartar and other harmful bacteria to build up as it is harder for you to brush and floss well.

teeth-thumb02

Gaps between teeth

Gaps between teeth is when there is extra space between two or more of your teeth. This can cause pockets between your teeth and gums and can cause food to get stuck making them tender and sore. This might also lead to gum disease.

teeth-thumb03

Open bite

An Open bite is when your upper and lower teeth don't touch when you close your mouth. An open bite can make it hard for you to chew or difficult to bite even the most common of food like apples.

teeth-thumb04

Underbite

An underbite is when you close your mouth and your lower front teeth are in front of your upper teeth. In many cases, this is actually a problem with your lower jaw being too far forward. An underbite can make it hard to chew properly and speak clearly, and it might cause your teeth to wear down more quickly.

teeth-thumb05

Overbite

An overbite is when your upper front teeth overlap with your lower front teeth. Most people have at least a little overbite. When your overbite is too large, your doctor might tell you you have a deep bite. This can cause problems, from your teeth wearing down to pain in your jaw.

teeth-thumb06

Crossbite

A crossbite is when you close your mouth and yet some of your upper teeth are sitting inside your lower teeth rather than on the outside. A crossbite can make your teeth wear down or chip. It can also make your gums start to recede or make little notches above your gum line. This kind of damage can lead to painful gum problems or even bone loss.

In Person Consultation

Affordable Invisalign treatment

Many people worry about the cost of Invisalign braces, and so we have devised a number of payment plans to help you afford the right treatment with Invisalign.

Book Now

Invisalign®

from £ 3859
  • Free Itero Scan
  • Free removable retainers
Book Now

FAQs

1. What is the treatment process?

What is the treatment process?

Invisalign treatment starts with a consultation with an Invisalign-trained doctor. Your doctor will evaluate your smile and then map out a precise, customized digital treatment plan that showcases the step-by-step transformation of your smile. once you approve your plan, your unique aligners will be created. you will wear each set of aligners for 20 to 22 hours a day, changing to a new set of aligners every 1 to 2 weeks, as directed by your doctor. each set of aligners will gently and gradually shift your teeth into place, according to your treatment plan, until you reach your beautiful new smile.

How long does Invisalign treatment take?

Depending on the complexity of your case, you could complete your treatment in as little as 3 months. but you’ll start seeing results in a matter of weeks.

What are Invisalign clear aligners made of and what do they look like?

Invisalign clear aligners are made of flexible plastic — specifically, a patented thermoplastic material called SmartTrack created exclusively for Invisalign treatment.

2. What is Invisalign treatment?

What is Invisalign treatment?

Invisalign treatment is the process of wearing a series of clear, removable aligners that gradually straighten your teeth. No brackets and wires, and none of the restrictions that come with metal braces.

What are Invisalign clear aligners made of and what do they look like?

Invisalign clear aligners are made of flexible plastic — specifically, a patented thermoplastic material called SmartTrack created exclusively for Invisalign treatment.

How will Invisalign treatment straighten my teeth?

Your Invisalign Doctor will create a unique, digital treatment plan that maps out the exact movements of your teeth. Your Invisalign clear aligners are then designed to apply the right amount of force to the right place at the right time based on your plan. Your Invisalign Doctor will be with you every step of the way to monitor your progress and ensure your aligners fit correctly.

What are the primary benefits of Invisalign treatment?

Invisalign clear aligners are virtually invisible — people may not even notice you’re wearing them. You can remove them to eat and drink, to brush and floss, or for special occasions. There are no metal brackets or wires that could irritate your mouth or break.

Unlike other brands, Invisalign clear aligners are made from patented SmartTrack material, which is more comfortable and provides a better fit. Invisalign aligners are also trimmed based on your gum line for comfort and appearance. As the most advanced clear aligner system in the world, we have successfully improved over 8 million smiles, including 1.4 million teen smiles.

Am I guaranteed to have straight teeth with Invisalign treatment?

Every smile is unique, which is why your Invisalign treatment starts with a consultation. During your consultation, your Invisalign Doctor will help you determine what Invisalign treatment could do for your smile. We cannot guarantee a particular treatment outcome, but encourage you to share your treatment goals with your Invisalign Doctor at your consultation.

3. Who is Invisalign treatment for?

Could Invisalign treatment be right for me?

Invisalign treatment can be a great solution for both adults and teens looking for a virtually invisible method to improve their smile. Our innovations and technological advancements make it possible to fix nearly all common teeth-straightening and bite issues, from simple to complex — all without interrupting your busy life. And, thanks to a discreet blue dot on the outside of teen aligners, parents can be sure their child is wearing their clear aligners enough.

What is the treatment process?

Invisalign treatment starts with a consultation with an Invisalign-trained doctor. Your Invisalign Doctor will evaluate your smile and then map out a precise, customised digital treatment plan that showcases the step-by-step transformation of your smile.

Once you approve your plan, your unique aligners will be created. You will wear each set of aligners for 20 to 22 hours a day, changing to a new set of aligners every 1 to 2 weeks, as directed by your Invisalign Doctor. Each set of aligners will gently and gradually shift your teeth into place, according to your treatment plan, towards your beautiful new smile.

How do I get started with Invisalign treatment?

Our Smile Concierge Team can help you make an appointment with an Invisalign-trained Doctor near you. You can also find an Invisalign-trained Doctor near you using our online locator.

Many Invisalign Doctors offer free initial consultations. For the best experience, take the time to find the right Invisalign Doctor for you — someone who makes you feel comfortable and has the experience you’re looking for.

What is the Smile Concierge Team and what can they do for me?

The Smile Concierge Team is a friendly squad, here to help make getting started with Invisalign treatment even easier. They can help you schedule a consultation and find an Invisalign-trained Doctor near you.

Can I go to any dentist or orthodontist for Invisalign treatment?

Many orthodontists and dentists are Invisalign-trained Doctors, but not all are. Orthodontists and dentists who want to offer Invisalign treatment must complete specialised training. Our Smile Concierge Team can help you find an Invisalign-trained Doctor near you or you can use our online locator.

What should I bring to my consultation with my doctor?

Bring your questions (we’ve got a list to get you started here). You should also bring any information you might have about your dental history.

What should I expect during my consultation?

During your consultation, your Invisalign Doctor will discuss your teeth-straightening goals with you and examine your smile in order to determine your specific needs. Your Invisalign Doctor may also talk to you about how quickly you could reach your new smile, as well as your individual treatment cost.

Your Invisalign Doctor will most likely recommend scheduling a dental check-up and cleaning before you begin Invisalign treatment, to make sure your teeth and gums are in top health and to avoid unnecessary risks.

How long will treatment take?

The length of treatment depends on multiple factors, like how complex your case is and how often you wear your aligners. Your Invisalign Doctor will determine exactly how long your treatment could take based on your specific needs. On average, Invisalign treatment time is 6 to 9 months, though you can start seeing results in a matter of weeks.

How often will I change my Invisalign aligners?

Your Invisalign Doctor will tell you how often you should change to new Invisalign aligners (this can vary based on your individual treatment plan). Many Invisalign Doctors recommend changing Invisalign clear aligners weekly or every other week.

How often will I have appointments with my Invisalign Doctor?

Your Invisalign Doctor will schedule regular appointments, usually about once every four to six weeks. The goal of these visits is to ensure your Invisalign treatment is progressing as planned.

My Invisalign Doctor mentioned “attachments”. What are they and why would I need them for my Invisalign treatment?

Your Invisalign treatment may require SmartForce attachments, small tooth-coloured shapes that are attached to your teeth.

These shapes serve as handles, giving the aligners something to gently push on in order to move your teeth with the right amount of force, and are what make complex tooth movements possible without braces. Invisalign clear aligners fit smoothly and tightly around them, so they’re barely noticeable.

While not everyone who uses Invisalign clear aligners will need SmartForce attachments, if you need them, your Invisalign Doctor will attach them to your teeth at the start of or during your treatment and remove them when they are no longer needed.

4. How much does Invisalign treatment cost and what are the payment options?

How much does Invisalign cost?

like other types of orthodontic treatment, the price of the Invisalign treatment depends on the complexity of your dental correction and your course of treatment.

Is Invisalign treatment more expensive than braces?

Invisalign treatment typically costs about the same as braces.

5. Why should I feel confident about Invisalign treatment?

I am currently wearing braces. Can I make the switch to Invisalign treatment?

Possibly. Invisalign Doctors are treating a significant number of patients with a combination of braces and Invisalign clear aligners — consult your Invisalign Doctor to determine the best treatment approach for your smile.

Since having my braces removed, my teeth have shifted. Can Invisalign treatment fix this?

Yes, Invisalign clear aligners can treat nearly all common teeth-straightening issues, from simple to complex. Many people who formerly had braces choose Invisalign treatment as the discreet solution to improve their smile when they find that their teeth have shifted back.

I have veneers or crowns. Will Invisalign clear aligners work with them?

It depends. Talk with your Invisalign Doctor about the dental work you’ve had done, including veneers and crowns, and he or she will evaluate your individual needs.

I have bridgework on several teeth. Will Invisalign clear aligners still work?

Invisalign clear aligners are designed to move each tooth individually. Because bridgework connects two or more teeth, clear aligners may not be effective.

6. What if I've had braces or other types of Dental Work?

I am currently wearing braces. Can I make the switch to Invisalign treatment?

Possibly. Invisalign Doctors are treating a significant number of patients with a combination of braces and Invisalign clear aligners — consult your Invisalign Doctor to determine the best treatment approach for your smile.

Since having my braces removed, my teeth have shifted. Can Invisalign treatment fix this?

Yes, Invisalign clear aligners can treat nearly all common teeth-straightening issues, from simple to complex. Many people who formerly had braces choose Invisalign treatment as the discreet solution to improve their smile when they find that their teeth have shifted back.

I have veneers or crowns. Will Invisalign clear aligners work with them?

It depends. Talk with your Invisalign Doctor about the dental work you’ve had done, including veneers and crowns, and he or she will evaluate your individual needs.

I have bridgework on several teeth. Will Invisalign clear aligners still work?

Invisalign clear aligners are designed to move each tooth individually. Because bridgework connects two or more teeth, clear aligners may not be effective.

7. How will Invisalign treatment affect my life?

Can anyone tell that I’m wearing the aligners?

Invisalign aligners are virtually invisible. Others may not even notice you’re wearing them, making Invisalign treatment a seamless fit with your lifestyle.

Can I take my aligners off whenever I need to?

Yes, you can remove your Invisalign aligners for eating, drinking, brushing, and flossing. You can take them off for special occasions, like a wedding, job interview, or for playing your favourite sport or instrument. Just remember to wear them 20 to 22 hours a day to get the best results.

Are there any restrictions on what I can eat while in treatment?

None! Invisalign clear aligners are removable, so there are no food restrictions at all (hello popcorn!). With traditional wires and brackets, there’s a long list of foods you unfortunately can’t enjoy, as they can damage or get stuck in your braces.

Is Invisalign treatment painful?

Invisalign treatment moves your teeth by applying gentle, constant force, but some people do feel temporary discomfort for the first few days of wearing a new set of aligners. Typically, people describe it as feeling “pressure” and it’s normal — it’s a sign your Invisalign clear aligners are working and transforming your smile.

Please see your Invisalign Doctor if you have any concerns or experience continued discomfort.

Sometimes when I remove my aligners, my teeth feel loose. Is that common?

Yes. As your Invisalign aligners gradually shift your teeth into their proper position, your gums are re-forming around each tooth as it moves. Be sure to talk to your Invisalign Doctor about any concerns.

Will Invisalign treatment still work if I only wear my aligners while I sleep?

You need to wear your Invisalign aligners 20 to 22 hours a day to get the results you want.

Will wearing Invisalign clear aligners affect my speech?

It may take a couple of days for your tongue to get used to having your Invisalign aligners in your mouth, and you may have a slight lisp. But this should disappear quickly.

Will smoking stain my aligners?

We discourage smoking while wearing Invisalign aligners because it can stain them.

Can I chew gum while wearing aligners?

No, gum will stick to your Invisalign aligners. We recommend removing your aligners for all meals and snacks, including gum.

Can the aligners slip off while I’m asleep?

It is very unlikely that your aligners would ever fall out, no matter what you are doing: sleeping, talking, laughing, etc. Invisalign clear aligners are designed to fit snugly around your teeth, so this should not be a cause for concern.

I went on a trip and forgot to take my aligners with me. Will my aligners still fit?

The answer depends on how long you’ve gone without wearing your Invisalign aligners. If it’s only been a short time, your aligners should still fit, but they might feel uncomfortable. If it’s been a longer time, talk to your Invisalign Doctor about your unique situation.

8. How do I take care of my aligners?

What’s the best way to clean my aligners?

The best way to clean your aligners is by brushing and rinsing them in lukewarm water and using the Invisalign Cleaning Crystals or special cleaning tablets. It’s important that you brush your teeth after each meal before re-inserting your aligners to maintain good oral hygiene.

If I have food residue (like blueberries or pasta sauce) in my mouth when I put my aligners back in, can they become stained?

Yes. That’s why it’s important to brush after every meal, before placing your Invisalign aligners back in your mouth.

What if I lose or break an aligner. What should I do?

If you lose or break an Invisalign aligner, immediately let your Invisalign Doctor know. Your Invisalign Doctor will work with you to ensure you stay on-track with your treatment plan, which may involve wearing a previous set of aligners, your next set of aligners, or ordering replacements aligners.

Can I order replacement aligners from the Invisalign brand directly?

All aligners and retainers must be ordered through your Invisalign Doctor, as they are considered a prescription item. Please contact your Invisalign Doctor directly if you need to order a replacement.

9. What happens when I'm done with Invisalign treatment?

Will I need to wear a retainer after treatment to prevent my teeth from moving again?

Most Invisalign Doctors recommend that anyone who has completed orthodontic treatment, whether with braces or Invisalign treatment, use a retainer to prevent teeth from gradually shifting back toward their initial position. Every case is different, so ask your Invisalign Doctor if you need retainers.

What type of retainer should I use?

While there are many different types of retainers, we recommend Vivera retainers. Vivera retainers were specifically designed for use after Invisalign treatment, and are made from a proprietary material 30% stronger than other leading clear retainer materials, which helps you to keep your new smile.

Your Vivera retainers will be virtually invisible, and custom-made from an impression or scan of your teeth, using the same start-of-the-art technology used for Invisalign clear aligners.

How much do Vivera retainers cost?

Contact your Invisalign Doctor for more information on Vivera retainers, as pricing can be based on your individual needs. All Vivera retainer orders will include an extra set, in case you lose one.

How do I order Vivera retainers?

You can order Vivera retainers through your Invisalign Doctor.

How long will I have to wear my Vivera retainers?

Your Invisalign Doctor will give you specific instructions on how often you need to wear your retainers. Typically, you wear your first set full time, then based on your Invisalign Doctor’s recommendation, you may gradually reduce how much you wear them until you only wear them at night.

Lost your Vivera retainer? No problem.

If you lose or break your last set of Vivera retainers, or simply run out, just get in touch with your Invisalign Doctor. They can work with you on purchasing a new set of Vivera retainers, so you can keep showing off that smile!

In Person Consultation

GET IN TOUCH

What do they say about Modbury Dental Practice?

“I needed a double extraction today and was super nervous. The dentist (Dr Vivek Giddani) was phenomenal. So patient and incredibly skilled, it was over in minutes. Chloe was absolutely lovely too, very caring....”

Tor

“I have been a patient for approximately 20 years at Modbury , always been happy with the practice . The new modernised decor looks beautiful and the whole place feels generally more up to...”

Sarah

“I’ve been using modbury dental service for five years plus and under the new ownership it is still an excellent service. All the staff are super A very relaxing atmosphere awaits anybody that is...”

Karl

“The Modbury team are brilliant. They always provide such friendly and personable service and have constantly put my health and care at the centre of their approach. Thank you.”

Andrew

“I've been using Modbury Dental Practice for 20+ years and have always been very happy. I had some trepidation when visiting it for the first time with the new owners which was totally put...”

Phil

“Excellent service staff are so friendly and welcoming nothing was to much trouble”

Victoria

“Brilliant practice! Visiting and working with the team is a highlight every time.”

SSD Group

  • 4 Broad St, Modbury
  • Ivybridge
  • PL21 0PS
[google-reviews-pro place_photo=https://maps.gstatic.com/mapfiles/place_api/icons/v1/png_71/generic_business-71.png place_name="Larkham House Dental Practice" place_id=ChIJBy8ytknsbEgRNL6r91kXIo0 auto_load=true rating_snippet=true sort=1 min_filter=4 hide_photo=true write_review=true view_mode=badge_left open_link=true nofollow_link=true]
Google Rating