Before - larkham house Before
After - larkham house After

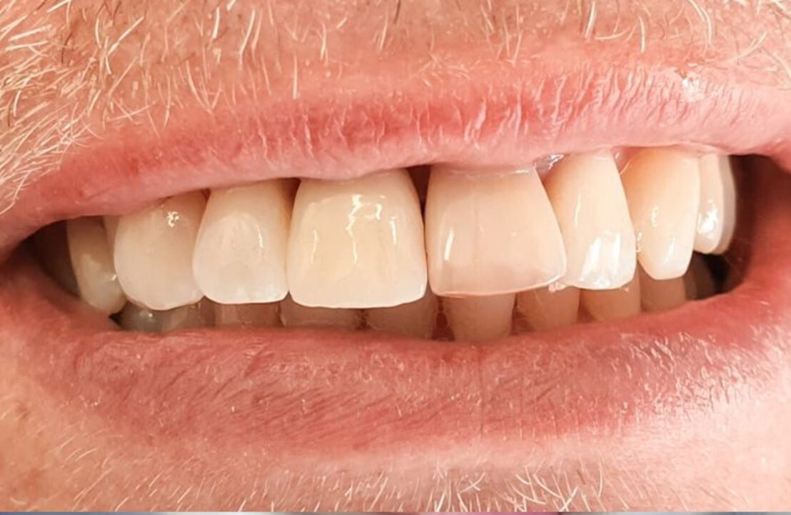
Cosmetic Crown Case

Upper crowns 3-3 to improve patients aesthetics.

Dental Implant Case before placement Before
Dental Implant Case after placement After

Dental Implant Case

Dental Implant Case

Dental Implant Case before placement Before
Dental Implant Case after placement After

Dental Implant Case

Dental Implant Case

Dental Implant Case before placement Before
Dental Implant Case after placement After

Dental Implant Case

Dental Implant Case

Dental Implant Case before placement Before
Dental Implant Case after placement After

Dental Implant Case

Dental Implant Case

Dental Implant Case before placement Before
Dental Implant Case after placement After

Dental Implant Case

Dental Implant Case

GET IN TOUCH

What do they say about Modbury Dental Practice?

“I needed a double extraction today and was super nervous. The dentist (Dr Vivek Giddani) was phenomenal. So patient and incredibly skilled, it was over in minutes. Chloe was absolutely lovely too, very caring....”

Tor

“I have been a patient for approximately 20 years at Modbury , always been happy with the practice . The new modernised decor looks beautiful and the whole place feels generally more up to...”

Sarah

“I’ve been using modbury dental service for five years plus and under the new ownership it is still an excellent service. All the staff are super A very relaxing atmosphere awaits anybody that is...”

Karl

“The Modbury team are brilliant. They always provide such friendly and personable service and have constantly put my health and care at the centre of their approach. Thank you.”

Andrew

“I've been using Modbury Dental Practice for 20+ years and have always been very happy. I had some trepidation when visiting it for the first time with the new owners which was totally put...”

Phil

“Excellent service staff are so friendly and welcoming nothing was to much trouble”

Victoria

“Brilliant practice! Visiting and working with the team is a highlight every time.”

SSD Group

  • 4 Broad St, Modbury
  • Ivybridge
  • PL21 0PS
[google-reviews-pro place_photo=https://maps.gstatic.com/mapfiles/place_api/icons/v1/png_71/generic_business-71.png place_name="Larkham House Dental Practice" place_id=ChIJBy8ytknsbEgRNL6r91kXIo0 auto_load=true rating_snippet=true sort=1 min_filter=4 hide_photo=true write_review=true view_mode=badge_left open_link=true nofollow_link=true]
Google Rating